HomeArticoliNRES Score per valutare i segni di infiammazione rinosinusale da reflusso faringolaringeo...

NRES Score per valutare i segni di infiammazione rinosinusale da reflusso faringolaringeo  

NRES Score per valutare i segni di infiammazione rinosinusale da reflusso faringolaringeo. L’associazione fra Rinosinusite cronica con o senza poliposi (CRSw/without NP) e Reflusso Laringofaringeo (LPRD) sta diventando sempre più frequente interessando circa il 60% dei casi di sinusite cronica. 

L’esposizione diretta della mucosa rinofaringea e sinusale al reflusso del contenuto gastrico acido ed alla pepsina danneggerebbe l’integrità epiteliale, la clearance mucociliare potenziando l’infiammazione cronica.

Sebbene i questionari basati sui sintomi (Reflux Symptom Index (RSI) e Reflux Symptom Score (RSS)) siano ampiamente utilizzati, è ancora carente la definizione dei segni obiettivi che attestino le manifestazioni nasali e nasofaringee del reflusso.   

È stato definito pertanto un nuovo apposito score The Nasopharyngeal Reflux Endoscopic Score (NRES) per valutare le modificazioni della mucosa suggestive di reflusso extraesofageo.

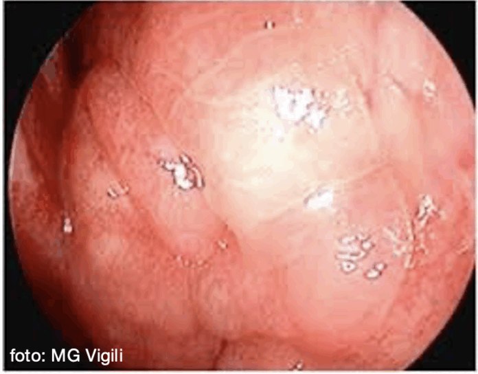
Vengono ricercati i seguenti segni: asimmetria tra le regioni anteriori e posteriori della cavità nasale; Ipertrofia predominante della coda del turbinato inferiore; assenza di muco nel passaggio medio nasale; ipertrofia della parete rinofaringea e dell’ostio della tuba di Eustacchio; incremento del pattern vascolare; presenza di muco; eritema o infiammazione della mucosa nasofaringea; modificazioni atrofiche della mucosa; presenza di granulazioni o modificazioni fibrotiche.  

Ad ogni segno viene attribuito uno score da 0 (assente), 1 (moderato), o 2 (severo).

Per testarne la validità è stato effettuato uno studio prospettico su 216 pazienti in due centri ad Astana, Kazakhstan.

La popolazione era divisa in 3 gruppi: CRS con sospetto LPRD (n = 116), CRS senza LPRD (n = 69), e gruppo di controllo sano (n = 31).   NRES scores era risultato significativamente più alto nel gruppo CRS con LPRD (media: 11.59) rispetto al gruppo   CRS senza LPRD (media: 3.10) ed al gruppo di controllo (media: 2.16) (p < 0.001). NRES scores mostrava anche una forte correlazione con RSI, RSS, and RFS scores ( p < 0.001).  

Tutti i parametri dei questionari miglioravano significativamente dopo trattamento con inibitori di pompa protonica e modificazioni dello stile di vita, nella valutazione longitudinale a 12 mesi confermando la validità del NRES score nella pratica clinica.

BIBLIOGRAFIA
Kalamkas Sagandykova  , Nataliya Papulova  , Gul’mira Muhamadieva  , Talapbek Azhenov and Jerome R. Lechien  . The Diagnostic Accuracy of the Nasopharyngeal Reflux Endoscopic Score (NRES) for Identifying Laryngopharyngeal Reflux Disease in Chronic Rhinosinusitis  J Clin Med 2025 Jun 17;14(12):4293. doi: 10.3390/jcm14124293.

Per ulteriori approfondimenti, si possono consultare anche i seguenti link:

Il reflusso fattore causale della rinosinusite cronica

Il Delta Neutrophil Index (DNI) predice la necessità di chirurgia nella rinosinusite cronica

Associazione causale fra reflusso gastroesofageo e malattie croniche di tonsille ed adenoidi

Reflusso gastroesofageo e muscolo cricofaringeo

Reflusso Gastroesofageo: la malattia aumenta il rischio di sviluppare tumore della laringe

I disturbi respiratori nei bambini sono sempre dovuti a Reflusso Gastroesofageo?

Malattia da reflusso precoce e rischio di malattie dell’orecchio nei bambini

Reflusso e disordini dentali in età pediatrica

Updates su Reflusso Faringo Laringeo (LPR) 2- trattamento

Updates su  Reflusso Faringo Laringeo (LPR)  1- diagnosi

Il reflusso faringo laringeo: quanto deve durare la terapia?

Laringospasmo nel sonno: responsabile il Reflusso Faringo Laringeo

PH Impedenzometria nel Reflusso Faringo Laringeo 

Reflusso faringo laringeo: confronto sulla prevalenza dei sintomi e segni otorinolaringoiatrici fra pazienti e specialisti

Linee guida IFOS per la diagnosi e trattamento del reflusso faringo laringeo: Parte I

Linee guida IFOS per la diagnosi e trattamento del reflusso faringo laringeo: Parte II

Atresia Coanale: più recidive nelle forme bilaterali e nei pazienti con Reflusso

Reflusso Faringo Laringeo: video intervista

Polipi Cordali e Reflusso Faringo Laringeo

Sintomi del reflusso faringolaringeo e tempi di terapia

Il Reflusso Faringolaringeo e la rinosinusite cronica

Dieta e Reflusso Faringo Laringeo

Reflusso: potenziamento (MSA) efficace contro sintomi atipici

Malattia da reflusso precoce e rischio di malattie dell’orecchio nei bambini

Reflusso Faringolaringeo: concetti chiave per comprenderlo

Reflusso: potenziamento (MSA) efficace contro sintomi atipici

Pepsina nella Saliva e Reflusso Faringo-Laringeo

Reflusso e disordini dentali in età pediatrica

Reflusso Faringolaringeo e disturbi oculari

Laringomalacia e dosaggio della Pepsina

Reflusso Faringolaringeo pediatrico

Reflusso Faringo Laringeo Frequente Nei Pazienti Orl

NBI e diagnosi di Reflusso Faringolaringeo

Reflusso Faringo Laringeo: trattamenti

Reflusso Faringo Laringeo (RFL): Esame Istologico

E’ possibile trattare il Reflusso Faringolaringeo senza farmaci?

Rispondi al questionario per sapere se soffri di Reflusso Faringo Laringeo

Il Refusso Faringo Laringeo nell’anziano

Dupilumab superiore agli altri farmaci biologici nel trattamento della rinosinusite cronica polipoide

 Il Delta Neutrophil Index (DNI) predice la necessità di chirurgia nella rinosinusite cronica

Raccomandazioni pratiche per il trattamento della Rinosinusite Cronica Polipoide nell’era dei biologici – Italian survey

Rinosinusite cronica aumenta rischio di neoplasie ematologiche e tiroidee

L’olfatto spesso compromesso nella rinosinusite cronica con polipi endotipo Type 2

Farmaci biologici e rinosinusite cronica: position paper SIOT

Il microbioma nasale ha un ruolo nella patogenesi della rinosinusite cronica

Farmaci biologici e Rinosinusite Cronica con Poliposi

La cellularità etmoidale entra nella genesi della Rinosinusite cronica

Rinosinusite cronica: ostruzione respiratoria e funzione sessuale

Dupilumab e trattamento Rinosinusite Cronica Polipoide

Rinosinusite cronica: terapie non steroidee -non antibiotiche antibiofilm

Il Reflusso Faringo Laringeo e la rinosinusite cronica

Rinosinusite cronica ricorrente da S. Aureus

L’esame istopatologico della rinosinusite cronica

Rinosinusite cronica e carenza di Zinco

Rinosinusite cronica: le irrigazioni nasali con Bunesonide migliorano I risultati della FESS

Rinosinusite Cronica: Protocollo di valutazione

Rinosinusite cronica eosinofila

Rinosinusite Cronica: Migliori risultati ottimizzando la somministrazione intranasale di farmaci

Rinosinusite cronica e disturbi dell’umore

Rinosinusite cronica: il trattamento chirurgico migliora qualità del sonno

Effetti avversi dei farmaci biologici per la sinusite cronica recidiva con polipi

Analisi dei fattori di rischio della sinusite cronica con asma in rapporto all’età

Eosinofilia periferica elevata è fattore prognostico di recidive di sinusite cronica polipoide

La chirurgia della sinusite cronica nell’infanzia previene recidive nell’età adulta

Fattori predittivi recupero olfatto dopo FESS per sinusite cronica polipoide

Chirurgia Endoscopica Rinosinusale (FESS) per sinusite cronica polipoide

Adenotomia migliora i sintomi della sinusite cronica nei ragazzi di 7-18 anni

Inquinamento atmosferico aggrava la sinusite cronica con polipi

Terapie biologiche per la sinusite cronica

FESS e Sinusite Cronica nell’anziano

Estratto di camomilla migliora sintomi della sinusite cronica

Sinusite cronica, ansia e depressione

Sinusite cronica polipoide: il vino peggiora i sintomi

Rinosinusite cronica pediatrica: up-to-date

Rinosinusite pediatrica: Linee Guida sul trattamento (I)

Rinosinusite pediatrica: Linee Guida sul trattamento (II)

Adenoidite e Rinosinusite Cronica nei bambini

Sinusoplastica con Balloon e sinusite cronica dell’infanzia

Tampone nasofaringeo nei bambini con sinusite acuta migliora risultati antibioticoterapia

La Chirurgia Endoscopica Rinosinusale (FESS) migliora le condizioni dei pazienti con rinosinusite cronica e asma o BPCO

Il microbioma nasale ha un ruolo nella patogenesi della rinosinusite cronica

L’esame istopatologico della rinosinusite cronica

La chirurgia endoscopica rinosinusale

Rinosinusite cronica: le irrigazioni nasali con Bunesonide migliorano I risultati della FESS

Dupilumab e trattamento Rinosinusite Cronica Polipoide

Effetti avversi dei farmaci biologici per la sinusite cronica recidiva con polipi

Eosinofilia periferica elevata è fattore prognostico di recidive di sinusite cronica polipoide

Presenza di Staphylococcus Aureus rettale fattore prognostico di Recidiva di Sinusite polipoide dopo FESS

Chirurgia Endoscopica Rinosinusale (FESS) per sinusite cronica polipoide

Intervento di Chirurgia Endoscopica Rinosinusale per Rinosinusite Cronica Polipoide

La Chirurgia Endoscopica Rinosinusale (FESS) migliora le condizioni dei pazienti con rinosinusite cronica e asma o BPCO

Aderenza al follow up riduce incidenza delle recidive nella FESS

Inquinamento atmosferico aggrava la sinusite cronica con polipi

Dupilumab: effetti avversi del trattamento sulla rinosinusite cronica con polipi

HPV e Sinusite Cronica Polipoide

Farmaci biologici e Rinosinusite Cronica con Poliposi

Sinusite cronica polipoide: il vino peggiora i sintomi

Dupilumab e trattamento Rinosinusite Cronica Polipoide

Procalcitonina Biomarker della Sinusite Cronica Polipoide

La chirurgia endoscopica rinosinusale

Rinosinusite cronica: le irrigazioni nasali con Bunesonide migliorano I risultati della FESS

Irrigazione salina calda: vantaggi durante la FESS

Spray a base di acido Ipocloroso utile nel postoperatorio della FESS

FESS e Sinusite Cronica nell’anziano

Farmaci biologici e rinosinusite cronica: position paper SIOT

Concha Bullosa e FESS

Ipertrofia dei turbinati: intervista

Poliposi: Corticosteroidi prima della FESS

FESS: qualità della voce nella poliposi

Sinusite odontogena sintomatica: trattamento nella FESS

FEES nello studio della Disfagia

Il turbinato medio: è utile resecarlo nella FESS?

Chirurgia Endoscopica Rinosinusale: 1° step

Chirurgia Endoscopica Rinosinusale 2° step: Etmoidectomia

Chirurgia Endoscopica Rinosinusale: III step – Approcci al seno frontale

Chirurgia endoscopica rinosinusale e sistemi di navigazione

Chirurgia Endoscopica Rinosinusale Funzionale

FUNGUS BALL: Trattamento endoscopico rinosinusale (E.S.S.)

Chirurgia dei polipi nasali: uso del Microdebrider

Polipi nasali e rischio tumori cavità nasali

L’olfatto spesso compromesso nella rinosinusite cronica con polipi endotipo Type 2

Articoli Correlati

Prof. Maurizio G. Vigili

OTORINOLARINGOIATRIA

Clicca qui per visitare il mio profilo

Prenotazione Rapida

Hai la necessita di prenotare velocemente una visita con il prof. Maurizio Giovanni Vigili

Articoli Correlati