Il Carcinoma Adenosquamoso della Testa e del collo (HN-ASCC) è una neoplasia piuttosto rara che origina dalle ghiandole sieromucinose del tratto aerodigestivo superiore.
È una forma aggressiva per la diffusione a distanza e la prognosi sfavorevole.
Colpisce più frequentemente la laringe, il cavo orale e l’orofaringe, ma può interessare tutti i distretti cervico facciali.
Il sesso maschile è più coinvolto come le età della 6° e 7° decade.
Fattori favorenti sono l’abuso di alcool, il fumo e l’HPV.
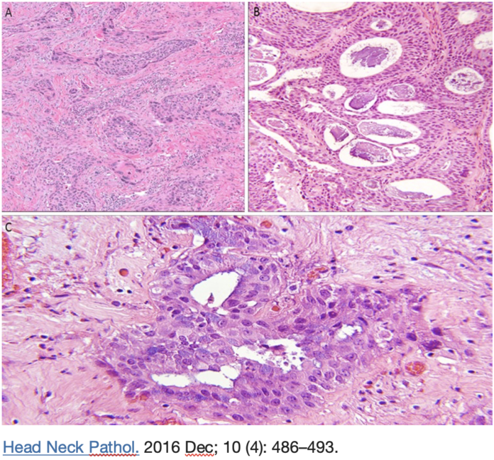
All’esame istologico ASCC manifesta le componenti maligne sia squamose che adenomatose, con un diverso grado di differenziazione.
Tipica, per quanto non patognomonica è la produzione di mucina.
La diagnosi su una biopsia superficiale non è facile e spesso viene confusa con Carcinoma mucoepidermoide o Carcinoma squamoso.
Dal punto di vista immunoistochimico CEA, CK7 e CAM52 riflettono la componente adenocarcinomatosa e ghiandolare, CK20 è assente mentre la componente squamosa esprime CK5/6 E P63.
Data la sua rarità, non esistono linee guida sul trattamento anche se una chirurgia precoce ed aggressiva, seguita da trattamenti adiuvanti, sembra la procedura di scelta.
I ricercatori dell’Università di Brescia hanno recentemente pubblicato una analisi retrospettiva della loro casistica dal 2002 al 2019 constante di 32 pazienti, per 84% maschi, di età media 66 anni (range 47-86 anni).
La laringe si confermava la sede più frequente (40.6%), seguita dall’orofaringe (21.9%).
Il trattamento era stato chirurgia esclusiva (20%) Chirurgia + RT (10%), mentre la maggior parte dei casi giunta alla osservazione era stata trattata con chirurgia di salvataggio per recidiva a precedente Radiochemioterapia (70%).
37.5% aveva metastasi linfonodali cervicali al momento della diagnosi, mentre metastasi occulte erano state trovate nel 40% dei casi N0 sottoposti a svuotamento elettivo.
La sopravvivenza globale (OS) a 5 anni era stata del 49.3% con RFS del 53%. Tutti i pazienti deceduti (43.4%) avevano presentato una recidiva locoregionale nel 36.7% ed a distanza nel 6.7%.
BIBLIOGRAFIA
Gabriele Zigliani, Sara Migliorati, Elisa Marazzi, Mara Arcuri, Michele Tomasoni, Simonetta Battocchio, Alberto Paderno, Davide Lancini, Alberto Deganello, Cesare Piazza. Adenosquamous cell carcinoma of the head and neck: a retrospective single institution series.Acta Otorhinolaryngol Ital 2023 https://doi.org/10.14639/0392-100X-N2466
Per ulteriori approfondimenti, si possono consultare anche i seguenti link:
Per ulteriori approfondimenti, si possono consultare anche i seguenti link:
Carcinoma Squamoso cervico facciale nei giovani
La mucosite orale da radioterapia nei tumori della testa e del collo
Make Sense Campaign Prevenzione Tumori Testa Collo: hai la testa a posto?
MAKE SENSE CAMPAIGN 2022 sulla prevenzione dei tumori della testa e del collo: HAI LA TESTA A POSTO?
Tumori testa collo Make Sense Campaign 2022
MAKE SENSE CAMPAIGN 2022: HAI LA TESTA A POSTO?
Make Sense Campaign 2019 AIOCC
PDTA del Carcinoma del Rinofaringe
PDTA dei Tumori dell’Ipofaringe
PDTA per i tumori del Cavo Orale
PDTA per il tumore della laringe: aggiornamento 2022
PDTA TUMORI OROFARINGE (AIOCC,2022)
Tumori Testa Collo: Review Epidemiologia
Carcinoma Squamoso dell’Orofaringe
Carcinoma Laringeo Radiotrattato e panendoscopia
Reflusso Gastroesofageo: la malattia aumenta il rischio di sviluppare tumore della laringe
Laser Co2 a Fibra-Trattamento Patologia Benigna Laringea
Granuloma Piogenico della Laringe
HPV Positività: prognosi migliore nei tumori orofaringe, ipofaringe, cavo orale e laringe
Tumori laringei e fumo di sigaretta
Infezioni da HPV peggiorano gli indici prognostici nei tumori del cavo orale
Trattamento dei Carcinomi Orofaringei HPV correlati
Carcinoma Orofaringe: ricostruzione con Lembo Miocutaneo di Gran Pettorale
Carcinoma dell’Orofaringe Hpv correlato
Carcinoma Squamoso dell’Orofaringe
Carcinoma dell’Orofaringe: proposta di nuova classificazione
Tumore Orofaringeo Hpv indotto
Il fumo attivo nei tumori orofaringei HPV positivi
L’infezione da HCV e i Tumori orofaringei
HPV Positività: prognosi migliore nei tumori orofaringe, ipofaringe, cavo orale e laringe
Trattamenti nei tumori orofaringei HPV correlati
Tumori orofaringei: chirurgia robotica opzione economica
Tumori dell’orofaringe HPV correlati: review
Tumori orali ed orofaringei: utile la Radioterapia post-operatoria
I Tumori dell’orofaringe Hpv Correlati: Entità a se stante?
Tumori orali ed orofaringei in aumento nei giovani
Test salivare e tumore orofaringeo asintomatico da Hpv
HPV 16 e 18 nel 30% dei tumori del cavo orale
Tumori del Cavo Orale: ritardo diagnostico
Tumori del Cavo Orale: Ridefiniti i Margini a Rischio
I tumori dello spazio parafaringeo: una sfida per il chirurgo
Papilloma Squamoso Hpv del Faringe
LEZIONE – I TUMORI DEL CAVO ORALE – Fattori di rischio e Diagnosi
Tumori del cavo orale: margine chirurgico sano
I TUMORI DEL CAVO ORALE II – Terapia chirurgica
Biopsia del linfonodo sentinella e tumori del cavo orale
Linfonodo Sentinella nei Tumori del Cavo Orale
Tumori del cavo orale, fumo ed alcool
Tumori del cavo orale: sopravvivenza e controllo locale
Tumori orali ed orofaringei: utile la Radioterapia post-operatoria
Tumori orali ed orofaringei in aumento nei giovani
L’uso del Laser CO2 nella chirurgia del cavo orale
Il Laser Co2 nelle lesioni del Cavo Orale
Il Laser CO2 nella prevenzione dei tumori della bocca
Tumori del Cavo Orale: Ridefiniti i Margini a Rischio
La Biopsia delle lesioni sospette del Cavo Orale: Incisionale
La progressione tumorale delle lesioni precancerose del cavo orale
Partial glossectomy and sentinel node biopsy with Lugasure Small Jaw
Microbioma orale e tumore testa-collo nei fumatori
Il Fumo Causa il Cancro: quali i fattori prognostici negativi?
Carcinoma dell’Orofaringe: proposta di nuova classificazione
Glossectomia Parziale e Biopsia del Linfonodo Sentinella
Linfonodo Sentinella nei tumori del cavo orale ed orofaringe
Glossectomie: proposta di una nuova Classificazione
LigaSure™ Technology nel trattamento dei Tumori della Lingua
Linfonodo Sentinella nei tumori del cavo orale: soluzione dell’enigma
Tumori della Testa e del Collo: stato nutrizionale ed infiammatorio influenzano la prognosi
