Oncocitoma delle Ghiandole Salivari. Gli oncocitomi rappresentano circa il 2% dei tumori delle ghiandole salivari.
Sono neoplasie benigne caratterizzate dalla presenza di cellule epiteliali cuboidi grandi, ricche di mitocondri con abbondante citoplasma granulare rosa, chiamate oncociti (anche cellule ossifile o cellule di Hurtle).
La parotide è la sede principale (70-80%). Insorgono generalmente nell’età avanzata (6°-8° decade) ad eccezione di casi con esposizione alle radiazioni o sede sottomandibolare. Non vi è una prevalenza di sesso ed etnicamente sono generalmente presenti nella razza caucasica.
Clinicamente sono indistinguibili da altre lesioni benigne o tumori a basso grado della parotide. Si manifestano con una tumefazione a lenta crescita, solitaria, generalmente monolaterale indolente. Alla palpazione la lesione è morbida, ben circoscritta.
Alla valutazione ecografica si presenta come una massa ipoecogena, con bordi ben definiti, indistinguibile da altre lesioni benigne più frequenti come l’adenoma pleomorfo. Alla TC si presentano come massa a bordi netti, omogenea nella presa di contrasto, indistinguibile dal Tumore di Warthin. Alla RM sono generalmente ipointense in T1 e T2 e isointense rispetto al tessuto parotideo nelle immagini T2 con saturazione del grasso e nelle immagini T1 post contrasto.
La FNAB (sensibilità intorno al 30%) mostra gruppi coesivi bidimensionali o tridimensionali di cellule uniformi poligonali con abbondante citoplasma granulare.
Altre caratteristiche citologiche includono bordi intercellulari ben definiti, nuclei centrali rotondi con prominenti nucleoli, un background senza cellule linfoidi, assenza di vacuoli citoplasmatici ed assenza di attività mitotica.
La prognosi è generalmente eccellente.
Il trattamento chirurgico è quello di scelta, data anche la resistenza alla Radioterapia.
Le recidive sono descritte in una percentuale intorno al 20% e sono generalmente dovute ad una escissione chirurgica incompleta.
La trasformazione maligna è riportata in alcuni casi in letteratura, per cui si raccomanda un follow up prolungato dopo l’escissione.
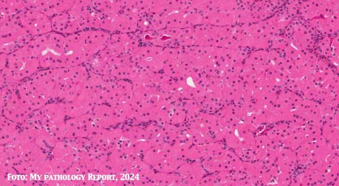
La diagnosi definitiva è istologica. Gli oncocitomi si presentano come neoplasie capsulate, ben circoscritte, formate da oncociti arrangiati in modalità diverse: lamine solide, trabecole, acini e nidi.
Gli oncociti sono cellule epitelioidi ricche di abbondante citoplasma eosinofilo granulare. I nuclei sono uniformi e rotondi con cromatina vescicolare e nucleoli prominenti.
Dal punto di vista immunoistochimico risultano positive a EMA, CK8/18, CK19, p63, ck5/6 a anticorpi anti-mitocondriali. Sono negative per marker mioepiteliali (SMA e Calponina, PAX2, PAX8, S100 E SOX10.
Va detto che gli oncociti possono essere anche riscontrati nelle ghiandole salivari normali in soggetti di età avanzata.
Inoltre aree di metaplasia oncocitaria sono comuni in tumori delle ghiandole salivari come l’adenoma pleomorfo, il cistoadenoma o il carcinoma mucoepidermoide.
Quello che distingue l’oncocitoma dalla metaplasia oncocitaria è la prevalenza delle cellule oncocitarie.
Va distinta anche l’oncocitosi costituita da una iperplasia oncocitaria.
Istologicamente esiste anche una variante di oncocitoma a cellule chiare. Qui sono presenti scarsi mitocondri e citoplasma chiaro dovuto all’accumulo di glicogeno intracitoplasmatico.
La variante maligna è eccezionale (<1% dei tumori delle ghiandole salivari) ed è classificata come Oncocarcinoma.
Le cellule oncocitarie qui tendono ad essere non più uniformi, ma mostrano una abbondante componente di pleiomorfismo, specialmente nella variante ad alto grado.
Spesso gli oncocarcinomi non sono capsulati, hanno pattern di crescita infiltrativo con invasione perineurale e linfovascolare, aumentato indice di attività mitotica e necrosi.
Sono più colpiti gli uomini (2:1) in età medio-avanzata. Il trattamento è chirurgico + Radioterapico. Elevata è la loro tendenza a recidivare (25-52%) ed a metastatizzare nei linfonodi (40-60%), con prognosi spesso sfavorevole.
BIBLIOGRAFIA
- Robert D.Rivera, Brenda L. Nelson Sine qua non : Oncocytoma. Head and Neck Pathology 2022 16:1167-71 https://doi.org/10.1007/s12105-022-01462-5
- Martin J Bullock, Xiaoyin S.Jiang. Top Ten Oncocytic Head and Neck Lesion to contemplate-. Head and Neck Pathology (2023) 17:53-65 httpa://doi.org/101007/s12105-022-01520-y
- Ming-Wei Huang, Jian-Guo Zhang, Jie Zhang, Shu-Ming Liu, Lei Zheng, Yan Shi, Dian-Yin Shi, Guang-Yan Yu. Oncocytic Carcinoma of the parotid glsnd The Laryngoscope 123: 381-85, 2013

Nella mia casistica di circa 600 parotidectomie la diagnosi di Oncocitoma è stata posta in 11 casi (1.8% dei tumori parotidei) di cui 2 erano multifocali. L’intervento è stato sempre di parotidectomia sovraneurale e non si è registrata alcuna recidiva giunta alla mia osservazione. Non ho operato alcun caso di Oncocarcinoma.
Per ulteriori approfondimenti, si possono consultare anche i seguenti link:
Lecture: i tumori delle ghiandole salivari
Epidemiologia dei tumori delle ghiandole salivari maggiori
Metastasi Linfonodali occulte nei Tumori delle Ghiandole Salivari
Ghiandole Salivari: il Tumore di Warthin
Carcinoma Adenoide Cistico delle Ghiandole Salivari
Tumori delle ghiandole salivari
Tumori delle ghiandole salivari: confronto agoaspirato e agobiopsia
Tumori maligni delle salivari: nuovi biomarker per diagnosticarli
Tumori delle ghiandole salivari e linfonodi
Carcinoma Adenoideo Cistico delle Ghiandole Salivari
Importanza della Diagnostica Citologica Agoaspirativa nella patologia delle Ghiandole Salivari
The Milan System for Reporting Salivary Gland Cytopathology
Adenoma Pleomorfo: tumore parotideo frequente e particolare
Parotidectomia totale con tecnica MI FUSION ®
Parotidectomia Sovraneurale per Adenoma Pleomorfo della Parotide
Adenoma Pleomorfo dello Spazio Parafaringeo: approccio chirurgico cervicotomico trasparotideo
Calcoli Salivari: la Scialoendoscopia
Carcinoma Mucoepidermoide della Parotide
Carcinoma a Cellule Aciniche della Ghiandola Parotide
Fattori di rischio di complicanze salivari dopo parotidectomia superficiale
Parotidectomia Sovraneurale per Adenoma Pleomorfo della Parotide
Adenoma Pleomorfo dello Spazio Parafaringeo: approccio chirurgico cervicotomico trasparotideo
Parotidectomia totale con tecnica MI FUSION ®
Parotidectomia Superficiale: Tossina Botulinica Intraoperatoria
Tumori della parotide: validità e limiti della citologia agoaspirativa (FNAB)
Parotidectomia od Osservazione per l’Adenoma Pleomorfo degli Anziani?
Nervo Grande Auricolare e chirurgia parotidea
La classificazione delle Parotidectomie
L’uso dei Presidi Optici nella chirurgia della Parotide
I tumori dello spazio parafaringeo: una sfida per il chirurgo
Adenoma Pleomorfo: tumore parotideo frequente e particolare
L’uso dei Presidi Optici nella chirurgia della Parotide
Plastica di rotazione del Muscolo Sterno Cleido Mastoideo post Parotidectomia
La classificazione delle Parotidectomie
Parotidectomia Sovraneurale per Adenoma Pleomorfo della Parotide
