Fungus Ball del seno mascellare – Chirurgia Endoscopica Rinosinusale. Il video illustra un caso di sinusite micotica che si presenta con le caratteristiche del Fungus Ball mascellare.
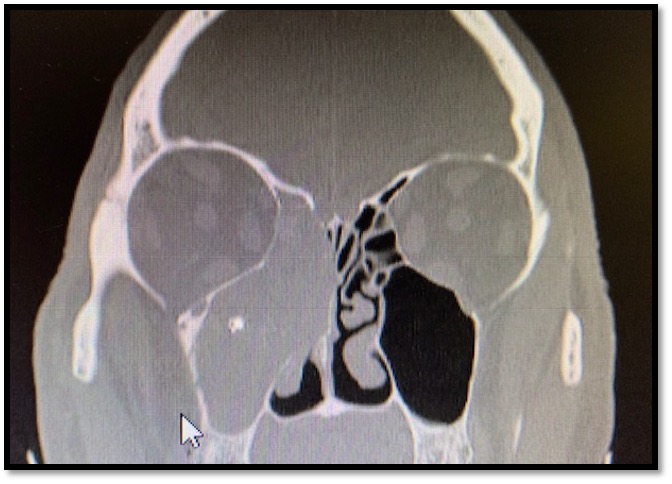
La TAC dei seni paranasali evidenzia un opacamento iperdenso del seno mascellare di destra con marginale coinvolgimento etmoidale.
All’interno del seno sono evidenti microcalcificazioni. La parete mediale del seno appare assottigliata, bombata all’interno della fossa nasale e ampiamente erosa.
L’endoscopia mostra un antro ampiamente slargato con presenza nel seno di materiale denso mucopurulento, friabile di colore misto grigiasto, verdastro e scuro, che è difficile asportare con aspiratore, pinze endoscopiche angolate anche dopo lavaggi con soluzione salina a pressione.
È stato necessario ampliare la maxillectomia mediana spontaneamente creata dalla sinusite fungina con microdebrider per poter dominare i residui patologici infiammatori della parete anteriore ed inferiore del seno fino alla sua liberazione completa
L’intervento è completato dalla etmoidectomia
Per ulteriori approfondimenti, si possono consultare anche i seguenti link:
FUNGUS BALL: Trattamento endoscopico rinosinusale (E.S.S.)
L’impatto degli impianti a rilascio steroideo nella chirurgia endoscopica rinosinusale
Chirurgia endoscopica funzionale del naso personalizzata
Maxillectomia mediale endoscopica per papilloma invertito del seno mascellare
Micetoma del Seno Mascellare: antrostomia spesso insufficiente
Come deve essere lo spray nasale steroideo per la sinusite cronica mascellare?
Sinusite Micotica Mascellare: trattamento
Polipo Naso-Mascellare: chirurgia endoscopica
Sinusite Acuta Mascellare Odontogena
Senotomia Frontale Dilatativa con XPRES BALLOON (Entellus®)
Mucocele rinosinusale: marsupializzazione endoscopica endonasale trattamento elettivo
Chirurgia Endoscopica Rinosinusale: 1° step
Chirurgia Endoscopica Rinosinusale 2° step: Etmoidectomia
Chirurgia Endoscopica Rinosinusale: III step – Approcci al seno frontale
Chirurgia endoscopica rinosinusale e sistemi di navigazione
Chirurgia Endoscopica Rinosinusale Funzionale
Chirurgia rinosinusale e Dupilumab a confronto nel trattamento della CRSwNP
L’impatto degli impianti a rilascio steroideo nella chirurgia endoscopica rinosinusale
Rinosinusite Cronica: Protocollo di valutazione
Effetti avversi dei farmaci biologici per la sinusite cronica recidiva con polipi
Lamine etmoidali residue anteriori limitano l’efficacia del Dupilumab
Aderenza al follow up riduce incidenza delle recidive nella FESS
La chirurgia endoscopica rinosinusale
Rinosinusite cronica: le irrigazioni nasali con Bunesonide migliorano I risultati della FESS
Irrigazione salina calda: vantaggi durante la FESS
Spray a base di acido Ipocloroso utile nel postoperatorio della FESS
FESS e Sinusite Cronica nell’anziano
Ipertrofia dei turbinati: intervista
Poliposi: Corticosteroidi prima della FESS
FESS: qualità della voce nella poliposi
