L’otite media eosinofila, definita per la prima volta nel 1997 da Tomioka et al., è una condizione patologica caratterizzata da otorrea altamente vischiosa, ricca di eosinofili, con elevati livelli di IgE.
Colpisce comunemente le donne nella V decade.
Criteri diagnostici minori (2 o più fra i seguenti 4) sono:
a) effusione dall’orecchio medio molto vischiosa;
b) resistenza ai trattamenti convenzionali della otite media (OM);
c) associazione con l’asma bronchiale;
d) associazione con la poliposi nasale.
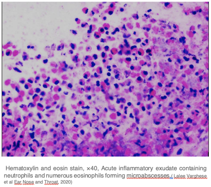
L’ Otite Media Cronica eosinofila (ECOM) può essere caratterizzata da perforazione semplice o dalla formazione di tessuto di granulazione.
Istologicamente, nella mucosa mesotimpanica dell’orecchio medio è presente un intenso accumulo di eosinofili e di cellule immunopositive alle IgE e cellule positive a EG2 (anticorpo monoclonale).
Sulla base dello spessore della mucosa dell’orecchio medio si distinguono 3 gradi: G1: normale; G2: mucosa ispessita; G3: mucosa edematosa con granulazioni predominanti estese al condotto uditivo esterno.
Le granulazioni sono resistenti ai trattamenti convenzionali, ma molto sensibili alla terapia steroidea topica e/o sistemica.
Il controllo della componente infiammatoria e delle sovrainfezioni batteriche mediante terapia antibiotica prevengono il rischio di ipoacusia progressiva fino alla sordità, che è riportato nel 5.8% dei casi.
Il danno all’orecchio interno può essere dovuto al passaggio dei prodotti dell’infiammazione dall’orecchio medio ed alla loro diffusione attraverso la membrana della finestra rotonda.
Il trattamento chirurgico della EOM è generalmente sconsigliato e vi sono studi multicentrici che dimostrano come il rischio sordità sia maggiore nei pazienti sottoposti a timpanoplastica rispetto a quelli non trattati chirurgicamente (17% vs 4%).
La cosa fondamentale è fare diagnosi accurata precoce.
BIBLIOGRAFIA
Lalee Varghese; Ajay Philip; Mayur K. Suryawanshi; Anand Job . Eosinophilic Otitis Media— , vol 101, 2, 2020 . An Otitis Media Mandating a Different Outlook. Ear, Nose & Throat Journal doi 10.1177/0145561320947269
Per ulteriori approfondimenti, si possono consultare anche i seguenti link:
Fattori di rischio di sviluppo della otite media cronica suppurativa dell’infanzia
Utilità delle insufflazioni tubariche nel trattamento della Otite Media effusiva
Otite media effusiva: la microscopia elettronica evidenzia che non e’ sempre un processo sterile
Otite Media Effusiva: nuovo dispositivo per la cura
Otite Media Acuta: trattamento
La funzione mucociliare nelle disfunzioni tubariche
Otite media: episodi in calo dopo l’introduzione del vaccino PCV13
Otite media cronica del bambino
Utilità della Timpanoplastica nel trattamento delle Otiti Medie croniche da Pseudomonas Aeruginosa
Timpanomastoidectomia vs terapia antibiotica parenterale nella otorrea cronica dell’infanzia
Otite media dell’infanzia: la terapia antibiotica breve non paga
Fumo passivo e Otiti Sierose dell’infanzia
Otite colesteatomatosa è più grave in età pediatrica
Otite media: episodi in calo dopo l’introduzione del vaccino PCV13
Tubi di drenaggio transtimpanici nei bambini: Linee Guida (update)
