Facebook
Linkedin
Youtube
Sign in
Home
Profilo
Contributi
Articoli
Approfondimenti
Blog
Casi Clinici
Video
Eventi
Il Prof. Risponde
Contatti
Prenota una visita
Sign in
Welcome!
Log into your account
your username
your password
Forgot your password?
Password recovery
Recover your password
your email
Search
Facebook
Linkedin
Youtube
Home
Profilo
Contributi
Articoli
Approfondimenti
Blog
Casi Clinici
Video
Eventi
Il Prof. Risponde
Contatti
Prenota una visita
Search
Home
Sample Page
Sample Page Title
Home
Profilo
Contributi
Articoli
Approfondimenti
Blog
Casi Clinici
Video
Eventi
Il Prof. Risponde
Contatti
Prenota una visita
Search
Home
Tags
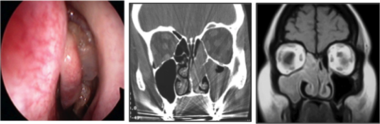
Papilloma invertito
Tag: Papilloma invertito
in primo piano
Sinusite batterica monolaterale: maxillectomia mediale endoscopica modificata
francesca
-
8 Maggio 2026
0
Blog
Recidive multiple di Papilloma Invertito: caratteri istologici e immunoistochimici
francesca
-
31 Ottobre 2024
0
Videoarticoli
Sinusite Acuta Monolaterale: trattamento endoscopico rinosinusale
francesca
-
25 Ottobre 2024
0
Articoli
Papilloma Invertito: fattori predittivi di recidiva
francesca
-
2 Agosto 2024
0
Videoarticoli
Maxillectomia mediale endoscopica per papilloma invertito del seno mascellare
francesca
-
23 Febbraio 2024
0
Articoli
Proteina S100 e Papilloma Invertito Nasosinusale
francesca
-
27 Maggio 2022
1
Articoli
Papilloma invertito rinosinusale e recidive
francesca
-
20 Dicembre 2019
0
Articoli
Poliposi ed esposizione a polveri occupazionali
francesca
-
31 Ottobre 2019
0
Blog
HPV causa del Papilloma Invertito Rinosinusale?
francesca
-
22 Marzo 2019
0
Approfondimenti
Patologia Rinosinusale Monolaterale
francesca
-
11 Gennaio 2018
0
1
2
Page 1 of 2