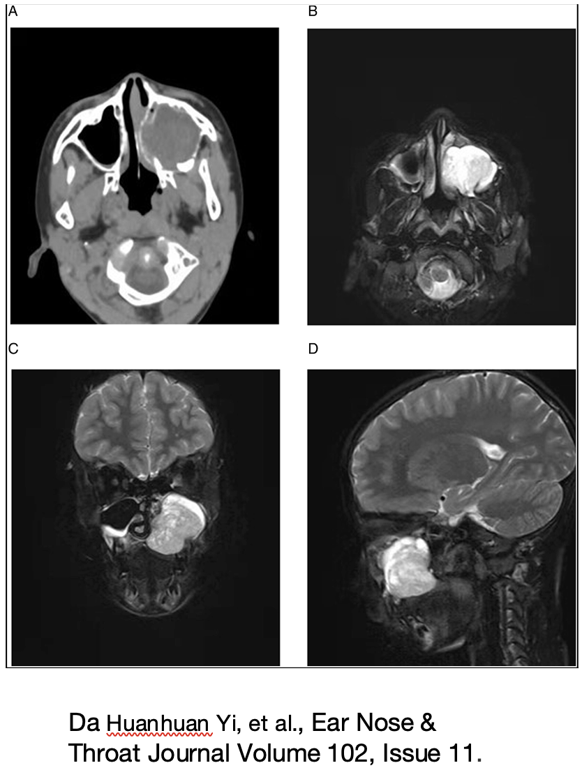
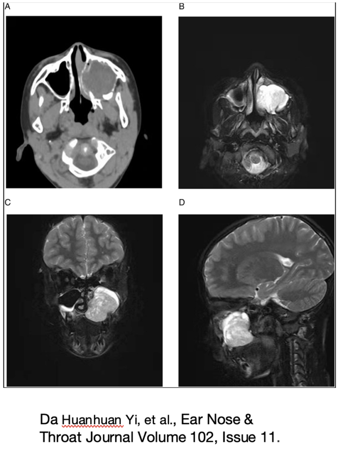
Papilloma Invertito in età pediatrica. L’incidenza del Papilloma Invertito Naso Sinusale (SNIP) è estremamente bassa nell’infanzia e pochi casi sono decritti in letteratura.
I sintomi clinici nella popolazione pediatrica sono simili a quelli degli adulti – ostruzione nasale monolaterale, rinorrea anteriore/posteriore, epistassi, cefalea, ipo/anosmia e dolore facciale.
Data la rarità della patologia, questi segni nell’infanzia vengono quasi sempre scambiati per tumore maligno naso sinusale e solo la diagnosi patologica è determinante.
La maggior parte dei casi origina dalla parete mediale rinosinusale con crescita secondaria nel seno mascellare od etmoidale.
TAC e MRI sono gli esami diagnostici di routine anche nell’infanzia per visualizzare l’estensione (basso segnale in T1 e alta presa di contrasto in T2 alla RM), erosioni delle limitanti ossee e l’iperostosi da cui generalmente prende origine SNIP.
La terapia preferenziale è chirurgica endoscopica con l’obiettivo di radicalità nel sito di origine del papilloma.
Non esistono dati in letteratura sulla incidenza di recidive nella popolazione infantile.
BIBLIOGRAFIA
Huanhuan, Yi, Tingting Ji, et al. Xin Ni. The Clinical Characteristics in Children with Sinonasal Inverted Papilloma: A Case Report and Review of the Literature, Ear Nose & Throat Journal. 2022, Volume 102, Issue 11. https://doi.org/10.1177/01455613211068567
Per ulteriori approfondimenti, si possono consultare anche i seguenti link:
Recidive multiple di Papilloma Invertito: caratteri istologici e immunoistochimici
Papilloma Invertito: fattori predittivi di recidiva
Proteina S100 e Papilloma Invertito Nasosinusale
Papilloma invertito rinosinusale e recidive
HPV causa del Papilloma Invertito Rinosinusale?
Trattamento Endoscopico Di Papilloma Invertito Etmoidale
Papilloma Invertito Rinosinusale: quasi un tumore maligno
Trattamento Endoscopico di Papilloma Invertito del Seno Sfenoidale
