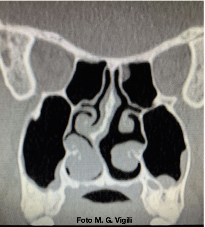
La settoplastica è più efficace della terapia medica nella ostruzione nasale da deviazione settale. Uno studio di metanalisi su 537 lavori che coinvolgevano 721 pazienti ha dimostrato che in pazienti affetti da ostruzione respiratoria con deviazione del setto nasale, l’intervento di settoplastica migliorava significativamente gli score di NOSE e SNOT-22, rispetto a quelli dei pazienti non trattati chirurgicamente.
Le differenze risultavano significative a 6 e 12 mesi mentre a 3 mesi non si evidenziava ancora grande differenza.
L’incidenza di complicanze risultava bassa (0.31% – 4.12%), legata soprattutto a sanguinamento, infezioni e perforazioni settali.
BIBLIOGRAFIE
Hosam I. Taha, Mohamed S. Elgendy, Mohamed R. Ezz, Khalid Tolba, Mahmoud El Safty, Mohammad Al Diab Al Azzawi, Basant E. Katamesh & Ebraheem Albazee . Septoplasty versus non surgical management for deviated nasal septum : a systematic review and metanalisys of randomized control trial. European Arhieves of Otorhinolarybgology. 2025 V 282 : 597-610.

Non avevamo dubbi sulla maggiore efficacia della chirurgia rispetto alle altre terapie nel migliorare la qualità di vita di questi pazienti. Il messaggio importante da recepire è che il risultato ha bisogno di qualche tempo per consolidarsi ed il paziente lo deve sapere per non crearsi false aspettative.
Per ulteriori approfondimenti, si possono consultare anche i seguenti link:
La Settoplastica riduce la secchezza nasale
Settoplastica e miglioramento della respirazione
Sperone Settale: Settoplastica Endoscopica
L’intervento sul setto migliora l’olfatto
Settoplastica O Settoturbinoplastica?
Settoplastica: cosa c’è da sapere sull’intervento
Sperone Settale: Settoplastica Endoscopica
Non Fumare dopo Intervento di Settoplastica!
Emangioma setto nasale: Bioexeresi con Thulium Laser
SNOT-22 : SINO-NASAL OUTCOME TEST
Snot-22 puo’ predire il rischio di reinterventi sui seni paranasali
