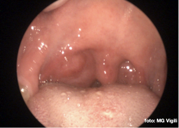
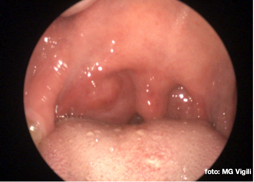
Ascesso peritonsillare nell’adulto: fattori di rischio di recidiva. Uno studio retrospettivo giapponese, utilizzando un database nazionale, ha indagato i fattori di rischio di recidiva di ascesso peritonsillare su 12.012 pazienti adulti trattati medicalmente od operati per tale patologia.
L’incidenza di recidive è stata dell’11,3%. La storia di ricorrenti tonsilliti, età < di 40 anni ed un trattamento antibiotico endovenoso inferiore ai 3 gg costituivano fattori aggravanti il rischio di recidiva dell’ascesso tonsillare.
Altri fattori presi in considerazione quali sesso, comorbidità, uso del tabacco e terapia chirurgica non avevano un valore statisticamente significativo
BIBLIOGRAFIA
Kayoko Mizuno, Masato Takeuchi, Yo Kishimoto, Koichi Omori, Koji Kawakami . Risk Factors for Recurrence of Peritonsillar Abscess. Laryngoscope 2023 Aug;133(8):1846-1852. doi: 10.1002/lary.30367.

Questi dati mettono in discussione che sia mandatorio eseguire una tonsillectomia dopo un ascesso peritonsillare e contestualmente come il trattamento medico debba essere non inferiore ai 3 gg e con somministrazione endovenosa, vale a dire con ricovero ospedaliero
Per ulteriori approfondimenti, si possono consultare anche i seguenti link:
Ecografia Transcervicale indica quando aspirare ascesso peritonsillare
Artrite reumatoide aumenta il rischio di ascesso peritonsillare
Ascesso peritonsillare: incisione e drenaggio é il trattamento migliore
