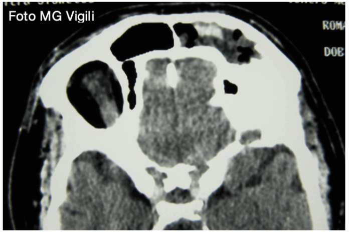
Osteomi dei seni paranasali: il fumo fattore di rischio per la crescita. Esistono dei fattori di rischio che siano potenzialmente associati alla crescita degli osteomi dei seni paranasali?
Uno studio statunitense della Upstate Medical University, Syracuse, NY, USA sul confronto delle immagini longitudinali di 47 pazienti affetti da osteoma dei seni paranasali ha trovato che l’incremento di volume era significativamente maggiore nei pazienti fumatori, pregressi ed attuali, rispetto ai non fumatori.
La lenta crescita dell’osteoma non incide generalmente sulla sintomatologia e clinica dei pazienti.
Si ritiene che una TAC ogni 3 anni sia il termine giusto per un accurato follow-up, fatto salvo casi selezionati.
BIBLIOGRAFIA
Allen L Luo, Abhishek Doshi, Mark A Arnold . Growth rate, impact of smoking and management of incidentally found paranasal sinus osteomas. Am J Otolaryngol.2024 Nov-Dec;45(6):104427. doi: 10.1016/j.amjoto.2024.104427
Per ulteriori approfondimenti, si possono consultare anche i seguenti link:
