Facebook
Linkedin
Youtube
Sign in
Home
Profilo
Contributi
Articoli
Approfondimenti
Blog
Casi Clinici
Video
Eventi
Il Prof. Risponde
Contatti
Prenota una visita
Sign in
Welcome!
Log into your account
your username
your password
Forgot your password?
Password recovery
Recover your password
your email
Search
Facebook
Linkedin
Youtube
Home
Profilo
Contributi
Articoli
Approfondimenti
Blog
Casi Clinici
Video
Eventi
Il Prof. Risponde
Contatti
Prenota una visita
Search
Home
Sample Page
Sample Page Title
Home
Profilo
Contributi
Articoli
Approfondimenti
Blog
Casi Clinici
Video
Eventi
Il Prof. Risponde
Contatti
Prenota una visita
Search
Home
Tags
Carcinoma squamoso della tonsilla
Tag: carcinoma squamoso della tonsilla
Blog
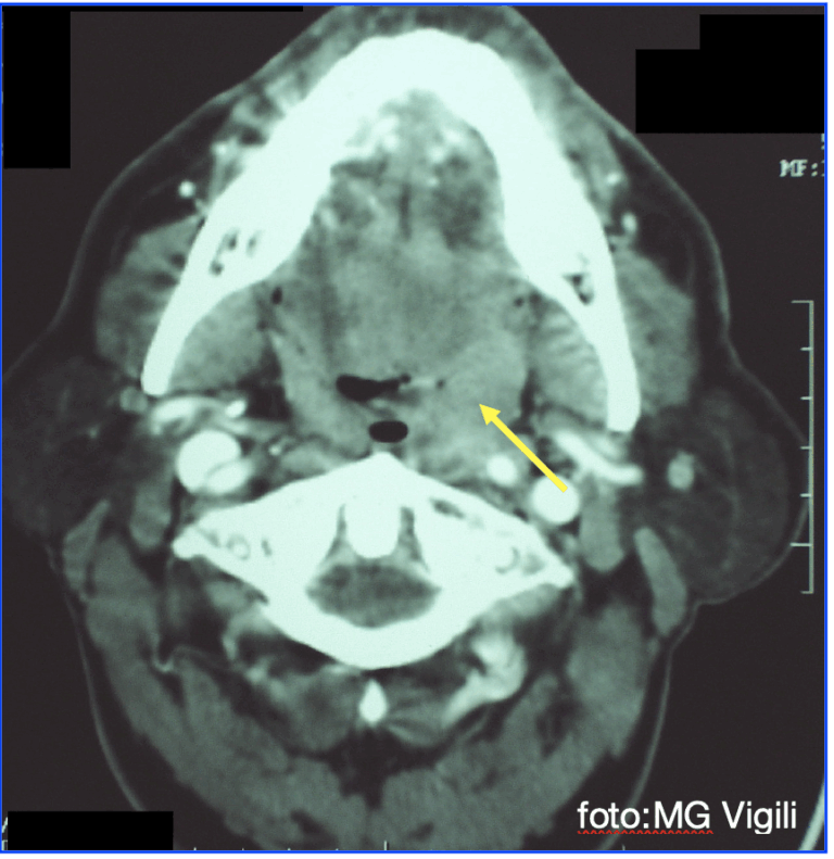
Maggior rischio di metastasi linfonodali nei giovani con carcinoma squamoso della tonsilla T1
francesca
-
5 Dicembre 2025
0
Articoli
Metastasi linfonodali controlaterali nei carcinomi squamosi della tonsilla
francesca
-
2 Maggio 2025
0