Ipertrofia Adenoidea: diagnosi e trattamento. Le nuove Linee Guida Tedesche.
Definizione
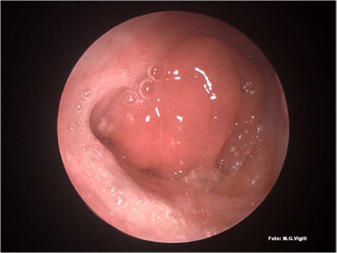
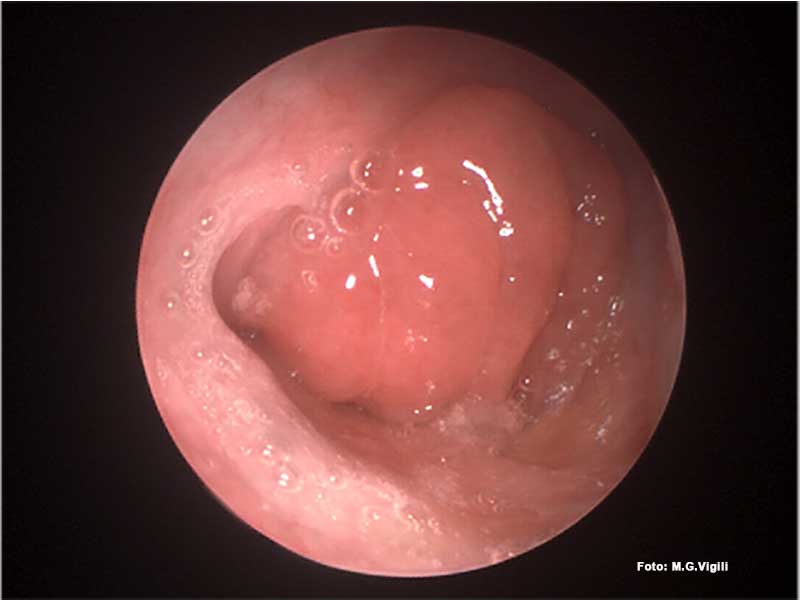
L’ipertrofia adenoidea è un allargamento delle adenoidi (tonsilla faringea) associato ad una ostruzione meccanica e/o ad un processo infiammatorio cronico del rinofaringe.
Adenoidite definisce una malattia infiammatoria delle adenoidi ipertrofiche. Dal momento che le adenoidi naturalmente diminuiscono di volume durante la adolescenza l’età che maggiormente caratterizza l’ipertrofia e la patologia infiammatoria è quella fra 1 e 6 anni .
Patologia
L’iperplasia della tonsilla faringea deve essere considerata patologica se vi sono sintomi e segni causati da ostruzione meccanica e/o cronica infiammazione del rinofaringe: ostruzione delle coane con limitata clearance delle secrezioni nasali, russamento e sindrome delle apnee ostruttive del sonno, enuresi notturna, malocclusione e respirazione prevalente alla bocca (facies adenoidea).
L’infiammazione cronica del tratto respiratorio superiore e la bronchite cronica possono essere sequele della ostruzione nasale, così come l’ipertrofia adenoidea può causare una disfunzione cronica della Tuba di Eustachio favorendo Otite media cronica siero-mucosa, retrazione epitimpanica, ipoacusia trasmissiva, e anche il colesteatoma. Una persistenza dei suddetti problemi uditivi può portare nel bambino a ritardo di linguaggio.
Diagnosi
Anamnesi accurata riguardante segni e sintomi della ostruzione respiratoria, apnea, disturbi uditivi, sintomi broncopolmonari.
Visita specialistica
Riscontro di facies adenoidea (bocca permanentemente aperta con visibilità della punta della lingua). Eczema spesso presente all’ingresso delle narici.
La visita specialistica otorinolaringoiatrica deve prevedere Rinoscopia estesa al rinofaringe utilizzando se possibile fibroendoscopio flessibile; oroscopia con valutazione delle tonsille palatine, otomicroscopia bilaterale, palpazione dei linfonodi cervicali, valutazione della malocclusione e malposizione dentale, palpazione del palato duro e molle per valutare eventuale schisi.
Test Funzionali
Timpanometria va effettuata per valutare la ventilazione dell’orecchio medio. Quando opportuno, può essere aggiunta audiometria tonale emissioni otoacustiche (TEOAE) e se possibile e disponibile tubo manometria.
Altri test diagnostici
Se il paziente non tollera esame endoscopico con fibroscopio flessibile nasale o con ottica rigida 70° transorale deve essere effettuato uno studio per imaging (per pazienti con sospetta neoplasia maligna o angiofibroma rinofaringeo giovanile).
Possono essere indicati, a giudizio clinico, test allergometrici e valutazione fonologopedica se c’è ritardo del linguaggio.
Secondo position paper interdisciplinari prima di un intervento sulle adenoidi va utilizzato un questionario standardizzato sulla coagulazione, dal momento che diversi studi hanno evidenziato come gli esami routinari di laboratorio sulla coagulazione (tempo di tromboplastina parziale [PTT], international normalized ratio [INR]) non sempre rivelano un disturbo di coagulazione. In caso di storia personale o familiare di diatesi emorragica, è fortemente raccomandata una diagnosi approfondita dello stato coagulativo prima della chirurgia. Se i questionari strutturati non rivelano che il paziente abbia una storia di deficit coagulativi, prima di una adenotomia non sono richiesti solitamente test di laboratorio della coagulazione.
Trattamento conservativo
L’osservazione è l’opzione per pazienti con iperplasia adenoidea senza altri segni o sintomi. In aggiunta vi sono evidenze che suggeriscono che l’uso off-label di steroidi intranasali può avere un beneficio nei pazienti con iperplasia. Il trattamento conservativo deve altresì essere considerato criticamente in pazienti con controindicazioni relative all’intervento (schisi sottomucosa palatale diatesi emorragica). Non vi sono al momento studi clinici che evidenzino vantaggi nell’utilizzazione di schemi di terapia medica. Pertanto steroidi sistemici – antibiotici ed antistaminici non dovrebbero essere utilizzati per il trattamento della ipertrofia adenoidea.
Trattamento chirurgico
L’ Adenoidectomia è indicata in pazienti con segni e sintomi severi (suscettibilità a infezioni ricorrenti, febbre, e danno uditivo persistete) e/o fallimento della terapia osservazionale. Pazienti con otite media cronica sieromucosa vengono spesso sottoposti a adenoidectomia e miringotomia associata con o meno inserimento di tubo di drenaggio transtimpanico.
Sulla base delle correnti raccomandazioni della American Academy of Otolaryngology—Head and Neck Surgery (AAOHNS) e l’evidenza della recente letteratura, le indicazioni alla adenoidectomia in pazienti con iperplasia adenoidea sono:
- Quattro o più episodi di rinorrea ricorrente purulenta nei primi 12 mesi in un bambino più giovane di 12 anni.
- Persistenza di sintomi di adenoidite dopo due cicli di antibioticoterapia (B-lactamici per almeno 2 settimane).
- Disturbi del sonno con ostruzione nasale persistente per almeno 3 mesi: sindrome delle apnee notturne ostruttive (OSAS), enuresi notturna secondaria.
- Linguaggio nasale
- Otite media con effusione per oltre 3 mesi o associata a set di tubi transtimpanici
- Malocclusione dentale o disturbi dello sviluppo orofacciale documentati da ortodontista o dentista
- Complicanze cardiopolmonari (cor pulmonale, ipertesione polmonare e ipertrofia del ventricolo destro con ostruzione delle vie aeree superiori).
- Otite media acuta ricorrete o otite media cronica con effusione all’età di 4 anni ed oltre
- Disordini cronici e ricorrenti della ventilazione che interessano la mastoide (mastoidite acuta e/o cronica o otite media cronica ricorrente o disfunzione della tuba di Eustacchio con retrazione della MT)
- Segni secondari e sintomi come facies adenoidea.
Fonte: https://www.entnet.org/resource/clinical-indicators-adenoidectomy/
L’urgenza della chirurgia dipende dai segni e sintomi del paziente e va deciso in accordo con gli specialisti coinvolti.
L’ Adenoidectomia con o meno miringotomia +/- drenaggio transtimpanico viene solitamente attuata come procedura outpatient (day surgery).
In casi speciali come fattori sociali, grande distanza da casa, impossibilità di assicurare assistenza continua oppure multiple disabilità, asma, disturbi di coagulazione, l’adenoidectomia può essere praticata con ricovero ospedaliero.
Limiti di età
La fisiologica involuzione delle adenoidi inizia dall’età di 6 anni ed è completa alla pubertà, per cui l’intervento è di rado effettuato ad età maggiori.
Tecnica chirurgica
In Germania, il curettage del rinofaringe in anestesia generale è la modalità standard delle chirurgia adenoidea.
Alternative comprendono elettrochirurgia, microdebriding, chirurgia a radiofrequenza e sono ampiamente utilizzate.
Esistono studi contrastanti sulla superiorità di una o alcune metodiche sull’altre o sull’uso di una chirurgia endoscopica per cui il curettage viene considerato la terapia standard
Esame istologico
In Germania, non vi è consenso nazionale per l’esame istologico del tessuto adenoideo. L’esame istologico è imperativo per pazienti con una storia medica suggestiva per tumore o in pazienti con reperti macroscopici preoperatori o intraoperatori anomali.
Cure postoperatorie
Nel caso di intervento outpatient, è necessario monitoraggio post operatorio sia dell’otorinolaringoiatra che dell’anestesista.
Se non vi sono complicanze (gonfiore, sanguinamento dal naso, distress respiratorio, lento smaltimento anestesia), dopo qualche ora possono essere dimessi ed affidati alle cure dei genitori.
Il monitoraggio va proseguito per le successive 24 ore. I pazienti devono stare tranquilli, a casa da scuola per almeno 3 gg ed astenersi da attività fisico sportive per almeno 7 gg.
In caso di insorgenza di sanguinamento secondario, è fortemente raccomandato di rivolgersi a un mendico per valutare se necessario un reintervento.
Una profilassi antibiotica generalmente non è necessaria
Complicanze e sequele
Il sanguinamento è la complicanza più frequente e viene distinto in primario ( entro 24 ore) o secondario ( oltre le 24 ore). L’incidenza riportata in letteratura varia fra 0.5% e 8.0% e raramente è severo.
Trauma all’ugula e danneggiamento alla apertura della tuba di Eustacchio con succesiva disfunzione tubarica e seri problemi di ventilazione dell’orecchio medio sono complicanze rare.
Anche se l’Adenoidectomia è eseguita correttamente, una recidiva di ipertrofia adenoidea può capitare e in alcuni casi può richiedere un ulteriore intervento.
Complicanze estremamente rare riportate sono permanente Ipo o iper nasalità, permanente insufficienza velofaringea, insufficienza coanale cicatriziale, sindrome di Grisel (o malattia di Watson-Jones o torcicollo atlantoepistrofeo), mediastinite discendente. In rari casi l’inserzione del tubo orale può portare a danno temporaneo dell’ipoglosso od irritazione delle fibre nervose del glossofaringeo.
Una temporanea iponasalità e odinofagia che durano 2 o 3 giorni sono considerate nella norma, come un leggero edema della mucosa peritubarica con effusione dell’orecchio medio o una temporanea incompleta chiusura rinofaringea con rigurgito nasale di cibi e bevande.
Follow-up
Un controllo della sede di intervento va fatto dallo specialista alcuni giorni dopo la dimissione e dopo la guarigione della ferita, con una valutazione ispettiva otoscopica, una timpanometria ed una valutazione audiometrica o con otoemissioni acustiche per valutare il miglioramento rispetto ai dati preoperatori.
BIBLIOGRAFIA
Ahmad, Z., Krüger, K., Lautermann, J. et al. Adenoid hypertrophy— diagnosis and treatment: the new S2k guideline. HNO 71 (Suppl 1), 67–72 (2023). https://doi.org/10.1007/s00106-023-01299-6
The German version of this guideline is available at: https://register.awmf.org/assets/guidelines/017-021p_S2k_Adenoide-Vegetationen_2022-12_01.pdf.
Editor: German Society for Otolaryngology—Head and Neck Surgery
Per ulteriori approfondimenti, si possono consultare anche i seguenti link:
Ipertrofia Adenoidea: ablazione con radiofrequenza
Ipertrofia adenoidea: RX Laterale Rinofaringe aiuta nella valutazione clinica
Adenoidite e Rinosinusite Cronica nei bambini
Ipertrofia Adenoidea nei bambini con Rinite Allergica
Tonsille e Adenoidi nell’infanzia: rischi a lungo termine della rimozione
Adenoidi nei bambini, quando vanno operate?
Tonsille e Adenoidi: cosa servono?
Adenofaringoplastica vs Adenotonsillectomia nelle Apnee Ostruttive severe dei bambini
Tampone rinofaringeo SARS-CoV2
Istotipo nella prognosi del Carcinoma del Rinofaringe
Carcinomi cervico facciali HPV correlati e non correlati
Cisti rinofaringe: asportazione endoscopica con Fibra Laser
Cisti Rinofaringea: Asportazione con Coblator
Decongestione Turbinati con Radiofrequenza al Plasma: trattamento personalizzato
Turbinati: riduzione con Radiofrequenza (Coblation Technology)
La Tecnologia Coblation nella Chirurgia dei Turbinati
Turbinati con Radiofrequenza: approccio Endoscopico in Microchirurgia
Turbinati inferiori: Laser vs Radiofrequenza
Ipertrofia dei turbinati: intervista
Turbinati inferiori: Laser vs Radiofrequenza
La Radiofrequenza nel Trattamento dei Turbinati
Decongestione Sottomucosa Interstiziale dei Turbinati Inferiori con Radiofrequenza al Plasma
Turbinoplastica: allergia non inficia il miglioramento della respirazione
Il turbinato medio: è utile resecarlo nella FESS?
